폐렴은 연령과 계절을 가리지 않고 발생하며, 2026년 들어 고령자와 면역저하자를 중심으로 발병률이 다시 증가하고 있는 호흡기 질환입니다. 폐렴의 주요 원인부터 초기 및 중증 증상, 병원에서 이루어지는 정확한 진단 방법, 최신 치료 방법과 일상에서 실천 가능한 예방법까지 체계적으로 정리하여 안내합니다. 폐렴에 대한 정확한 이해는 조기 치료와 합병증 예방에 중요한 기준이 됩니다.

폐렴 원인
폐렴은 폐 조직에 염증이 발생하는 질환으로, 대부분 외부 병원체가 폐에 침투하면서 시작됩니다. 가장 대표적인 원인은 세균, 바이러스, 진균 감염이며, 이 외에도 흡인성 폐렴이나 환경적 요인에 의한 발생도 꾸준히 보고되고 있습니다. 세균성 폐렴은 폐렴구균이 가장 흔한 원인으로 알려져 있으며, 2026년 기준 국내 의료 통계에서도 여전히 주요 원인으로 분류됩니다. 이외에도 황색포도상구균, 레지오넬라균, 마이코플라즈마균 등이 폐렴을 유발할 수 있습니다. 세균성 폐렴은 비교적 갑작스럽게 고열과 심한 기침, 화농성 가래를 동반하는 경우가 많습니다. 바이러스성 폐렴은 인플루엔자 바이러스, 코로나바이러스, 호흡기세포융합바이러스(RSV) 등에 의해 발생합니다. 최근에는 감염 후 회복 과정에서 2차 세균 감염으로 이어지는 사례도 증가하고 있어 주의가 필요합니다. 바이러스성 폐렴은 초기에는 감기와 유사한 증상으로 시작되지만, 점차 호흡곤란과 전신 피로가 심해질 수 있습니다. 흡인성 폐렴은 음식물이나 위 내용물이 기도로 유입되면서 발생하며, 고령자나 신경계 질환을 가진 환자에게서 흔하게 나타납니다. 이 경우 구강 내 세균이 폐로 이동해 염증을 유발하게 됩니다. 이 외에도 흡연, 미세먼지, 대기오염, 장기간 침상 생활, 면역력 저하 등은 폐렴 발생 위험을 크게 높이는 요인으로 작용합니다. 2026년 현재 고령 인구 증가와 환경적 요인으로 인해 폐렴은 단순한 감염병을 넘어 관리가 필요한 만성 위험 질환으로 인식되고 있습니다.
폐렴 증상과 진단방법
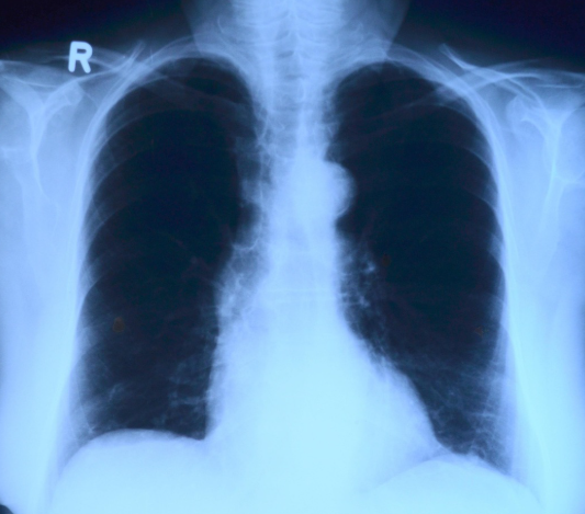
폐렴의 증상은 원인균과 환자의 연령, 기저질환 여부에 따라 다양하게 나타납니다. 가장 흔한 증상은 기침과 가래이며, 고열과 오한, 흉통이 동반되는 경우가 많습니다. 기침 시 누런색 또는 녹색 가래가 나오거나, 심한 경우 피가 섞여 나올 수도 있습니다. 호흡기 증상 외에도 전신 증상이 함께 나타나는 것이 폐렴의 특징입니다. 전신 쇠약감, 식욕 저하, 두통, 근육통이 지속되며, 고령자의 경우 발열 없이 의식 저하나 혼돈 상태로 나타나는 경우도 있어 조기 발견이 어렵습니다. 증상이 진행되면 숨이 차고 호흡이 빨라지며, 산소포화도가 떨어지는 저산소증이 발생할 수 있습니다. 이는 입원 치료가 필요한 중증 폐렴의 신호로 판단됩니다. 폐렴의 정확한 진단을 위해 병원에서는 여러 검사를 종합적으로 시행합니다. 가장 기본적인 검사는 흉부 X-ray 촬영으로, 폐에 염증 음영이 있는지를 확인합니다. 필요에 따라 흉부 CT를 통해 병변의 범위와 중증도를 보다 정밀하게 평가합니다. 혈액검사는 염증 수치와 백혈구 수치를 확인하여 감염 여부를 판단하는 데 활용됩니다. C-반응성 단백질(CRP)이나 프로칼시토닌 수치는 폐렴의 활성도를 평가하는 지표로 사용됩니다. 가래 배양 검사는 원인균을 정확히 확인하여 적절한 항생제를 선택하는 데 중요한 역할을 합니다. 최근에는 신속 항원 검사나 분자진단 기법을 통해 바이러스성 폐렴 여부를 빠르게 확인하는 경우도 증가하고 있습니다.
폐렴 치료방법과 예방법
폐렴 치료의 기본 원칙은 원인에 맞는 치료를 신속하게 시행하는 것입니다. 세균성 폐렴의 경우 항생제 치료가 핵심이며, 환자의 상태와 원인균에 따라 경구용 또는 주사용 항생제가 사용됩니다. 경증 환자는 외래 치료가 가능하지만, 고령자나 기저질환이 있는 경우 입원 치료가 권장됩니다. 바이러스성 폐렴은 항바이러스제 사용 여부를 신중하게 결정하며, 대부분은 대증 치료를 중심으로 진행됩니다. 충분한 수분 공급과 휴식, 해열제 사용이 기본이 되며, 호흡 곤란이 있는 경우 산소 치료가 병행됩니다. 중증 폐렴 환자는 집중 치료가 필요할 수 있으며, 인공호흡기나 고유량 산소 치료가 적용되기도 합니다. 치료 과정에서 합병증 발생 여부를 지속적으로 모니터링하는 것이 중요합니다. 폐렴 예방은 치료만큼이나 중요합니다. 가장 효과적인 예방법은 예방접종입니다. 폐렴구균 백신과 인플루엔자 백신은 폐렴 발생과 중증도를 낮추는 데 큰 도움이 됩니다. 65세 이상 고령자와 만성질환자는 정기적인 접종이 권장됩니다. 생활 습관 관리도 예방에 중요한 요소입니다. 손 씻기와 개인위생 관리, 실내 환기, 마스크 착용은 호흡기 감염 예방에 효과적입니다. 흡연은 폐 기능을 저하시켜 폐렴 위험을 높이므로 반드시 금연하는 것이 바람직합니다. 충분한 수면과 균형 잡힌 영양 섭취를 통해 면역력을 유지하는 것도 중요합니다. 감기 증상이 장기간 지속되거나 호흡기 증상이 악화될 경우 조기에 의료기관을 방문하는 것이 폐렴으로의 진행을 막는 데 도움이 됩니다.
조카가 어렸을 때 감기가 심해지면서 폐렴으로 변경이 되었다는 의사의 진료소견을 듣고 입원을 한 적이 있습니다. 폐렴은 조기에 발견하고 적절히 치료하면 회복이 가능하지만, 방치할 경우 생명을 위협할 수 있는 질환입니다. 원인과 증상, 진단 방법, 치료와 예방법을 정확히 이해하는 것은 개인 건강 관리의 중요한 출발점입니다.
일상 속 예방 수칙을 꾸준히 실천하고, 이상 증상이 나타날 경우 즉시 전문 의료진의 진료를 받는 것이 가장 확실한 폐렴 대응 방법입니다.